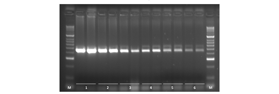
使用引物和 Taq DNA 聚合酶对人类基因组 DNA 进行一式两份的序列稀释(分别为 1 μg、200 ng、100 ng、50 ng、25 ng 和 12.5 ng,1-6),以扩增人类 myc 基因的 450 bp 片段。所用基因片段的 GC 含量为 61%,选择该片段是为了展示 Taq DNA 聚合酶的高产率和灵敏度,使其成为扩增复杂 PCR 模板的最佳选择。
Taq 稀释缓冲液需要加入聚合酶、反应缓冲液、dNTPs 和MgCl2,以及引物和模板。
| 说明 | Taq HS 抗体是抗 Taq 单克隆抗体的混合物,旨在室温下抑制 Taq DNA 聚合酶的活性。它可用于制备热启动 PCR 或 qPCR 母液,有助于防止非特异性扩增和引物二聚体的形成,提高特异性和灵敏度,同时允许在常温下组装反应。 |
| 浓度 | 10 毫克/毫升 ≤ 5% |
| 外观 | 无色透明溶液 |
| 应用 | PCR、多重 PCR、qPCR、多重 qPCR |
| 样品类型 | cDNA, DNA |
| 演示文稿 | 1 瓶 |
| 存储 | -20 °C |
| 混合稳定性 | 见外标签 |
| 灵敏度 | 使用人类基因组 DNA 稀释系列进行 qPCR,以确定限制模板浓度下的特定产物 |
| 效率 | 测试样本和参照样本之间的 ± 0.5 Ct 差异 |
| DNA 污染 | 在大肠杆菌和小鼠基因组 DNA 特异性目标的 PCR 扩增中未检测到与阴性对照重叠的痕迹。 |
我们通常建议使用浓度为 25 单位/毫升(1.25 单位/50 微升反应)的 Taq DNA 聚合酶。不过,在特殊应用中,Taq DNA 聚合酶的最佳浓度可能在 5-50 单位/毫升(0.25-2.5 单位/50 微升反应)之间。
过量的 Taq 会导致过多的不需要的 DNA 片段(在凝胶上出现斑点),而过量的 Taq 则可能导致反应失败,检测不到任何产物。
由于难以用移液管移取少量酶,Taq DNA 聚合酶可在 Taq 稀释缓冲液中稀释。与 Taq 反应缓冲液不同的是,Taq 稀释缓冲液可用于储存 Taq DNA 聚合酶,使其在 -20 °C 下长期稳定。
降低模板浓度有助于最大限度地减少抑制剂的浓度,也可以增加 DNA 聚合酶和引物的用量。在某些情况下,如果无法获得 DNA,可能还需要增加一个预处理步骤。
对产品有疑问?想进一步了解 Meridian 的分子或免疫检测解决方案?您可以直接与我们联系!
填写表格提交信息,即表示您同意您的个人信息可以在我们拥有设施或服务提供商的任何国家存储和处理,并且通过使用我们的 “联系我们 “页面,您同意将信息传输到您居住国以外的国家,包括美国,因为美国的数据保护规则可能与您的国家不同。您提交的信息将受我们的隐私声明管辖。